
Google Review
I have done my Invisalign at Westchester Gentle Dentistry and the experience has been amazing, everyone in the office is so kind and inviting. They made me comfortable throughout the whole journey, and I am so happy with the results!
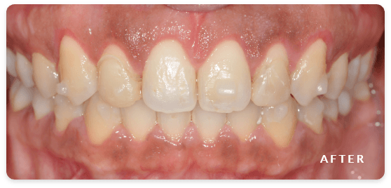
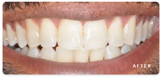
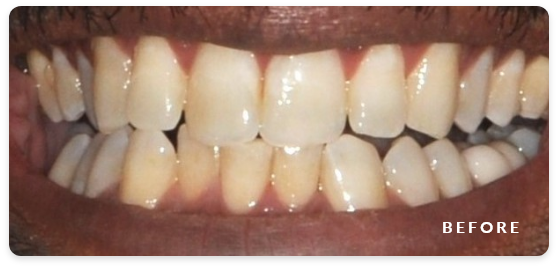
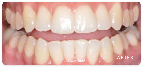
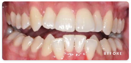
Real Patients. Real Smiles.
From minor fixes to full mouth rehabilitations, our dental team is able to coordinate and deliver gorgeous, long-lasting results no matter the dentistry patient’s needs. To learn more about some of the procedures featured here and what they could do for you, contact us today.






How Invisalign Works
Starting with a digital model of your mouth, we are able to utilize the latest technology to fabricate a series of clear aligners. Used in sequence, these thin, plastic devices move your teeth into their ideal positions – quickly and painlessly. Your entire treatment is based on a computer simulation of your “perfect smile”. Invisalign is an ideal solution for teens and adults with routine orthodontic challenges.
Payment Options to
Fit Every Budget
In addition to this amazing discount, if you have insurance benefits, they provide another way you could save money on correcting your smile. Dental insurance varies from plan to plan, but some these days have partial coverage for orthodontic treatment, including Invisalign. This means your out-of-pocket total could be even lower!
For patients without insurance, ask about our In-House Payment Plans and Third Party Financing.

Where To Find Us
Our state-of-the-art facility is located in the heart of the Westchester community. It is convenient for patients across New York and offers the finest staff and a super-clean, comfortable environment.